ικανοποίηση
- ΤΕΛΕΥΤΑΙΑ ΝΕΑ
Μύκονος και Σαντορίνη: Πρώτες στους δείκτες ικανοποίησης, ξεπερνούν Σεν Τροπέ, Σαρδηνία και Ίμπιζα
Κατά την τουριστική περίοδο Απριλίου – Οκτωβρίου 2024, η Μύκονος και η Σαντορίνη επικράτησαν έναντι διάσημων προορισμών όπως το Σεν…
Read More » - ΤΕΛΕΥΤΑΙΑ ΝΕΑ
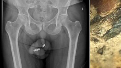
Απίστευτο: 73χρονος ικανοποιούνταν βάζοντας μπαταρίες στο…
Ένας 73χρονος άνδρας από την Αυστραλία χρειάστηκε να υποβληθεί σε χειρουργική επέμβαση στην ουρήθρα, προκειμένου να αφαιρεθούν από το εσωτερικό…
Read More »

